How Natural Looking Veneers Can Be Beneficial?
Looking For natural looking veneers? the appearance of your teeth is crucial. It gives you beauty and confidence. If your teeth look bad, you can consider natural-looking veneers. There is really something for each man or woman that the dentist gives current news.
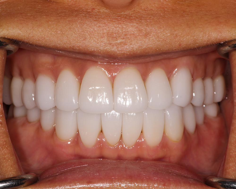
A porcelain veneer is a regenerative alternative to be had for you to one’s people collectively with minimum troubles for his or her ugly tooth. It can be used concerning aesthetic functions or being a precautionary decision for even greater rot. Typically, the specific dental veneer Eastern Suburbs might also very last whenever for a few years. However, it will, after that, need to be substituted. Dental mincing and clenching may be dangerous as a way to a veneer.

Blend veneers are a low-priced alternative that is commonly normally now no longer for the reason that long-lasting or possibly her porcelain alternatives. This works extraordinarily properly as a preventative, usually in the sphere of dentistry.
Why Use Natural Looking Veneers
It normally comes in the beauty department. And it is commonly additionally properly-favoured via way of means of honestly beauty oral doctors. Porcelain veneers are probably the cause for the’ Hollywood’ smiles. Natural-looking veneers commonly are the best carried out to lessen discolouring withinside the tooth. Additionally, it is ideal for you to load in pauses and make bigger those people. These oldsters supply even colour plus layout right into a match filer’s giggle that may make sincerity of their specific outlook. Since inner each aesthetic strategy, there exists numerous controversies.
Some dentists consider that the overuse of porcelain veneers might be negative as a way to a patient’s fashionable oral fitness. It is truly best inside scenario their tooth is in any other case healthful and balanced. And possibly they may be honestly getting a veneer composite honestly as one aesthetic fee.
The actual non-public choice continues in both manners. Instead, in most cases, porcelain veneers are a properly-favoured desire withinside the oral international. This specific approach could emerge as a remarkable remedy for culture due to the fact properly as regenerative and preventive methods. They have to sincerely now no longer roughed upwards for the conditions of the ‘perfect’ snort. The natural-looking veneers might also, in all likelihood, be a remarkable alternative in the case of going through damaged, out of variety, discoloured or deteriorating teeth. After some time, what you could do because of your mouth location is totally from the manager. To learn more about this topic visit our website.
